Watch Now
What Makes Dentium 3D Viewer Different?
-
AI SegmentationAutomatic segmentation identifies and isolates important anatomic structures, providing a clear 3D view to help clinicians see every detail.
-
AI Airway AnalysisQuickly visualize and measure airway volume with automated segmentation. This feature highlights the narrowest area in the airway, helping clinicians identify constricted zones and plan airway management efficiently.
-
AI Occlusal PlaneStart every case with precise alignment. The AI-powered tool automatically suggests an occlusal plane based on key anatomical landmarks, helping clinicians maintain a consistent and reliable restorative reference point.
AI Segmentation
The key anatomic structures such as teeth, nerves, bones, sinus, and airway are automatically segmented for easy visualization.
The color-coded display allows clinicians to share clear visual data with patients for effective communication.
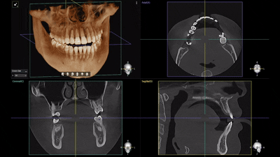
AI Tooth Segmentation
The shape and position of every tooth are automatically detected and segmented for easy viewing. Selecting a specific tooth instantly aligns all view planes to that tooth, allowing clinicians to examine details more quickly.
AI Sinus Bone Graft
Based on segmented maxillary sinus data, the AI feature provides a visualization of the expected augmented volume in areas requiring sinus grafting.
AI Airway Analysis
The AI-powered airway analysis automatically segments the airway and provides quantitative analysis of the area. This helps to visualize the changes in the airway space after treatments such as orthodontics or sleep apnea treatment.
AI Implant Planning
With a single click, implant fixtures and crowns are automatically positioned in edentulous sites.
Enhanced segmentation of maxilla and mandible bones improves automatic placement accuracy.
-
Dental ArchAI generates arch line in seconds, accurately.
-
NerveAI detects inferior alveolar nerve in 15 seconds.
-
Fixture & CrownAI sets fixture & crown positions to simplify implant planning.
AI Occlusal Plane
The occlusal and midline planes are established by AI using known anatomic reference landmarks like ANS-PNS, Orbitale, and the mid-suture line.
The AI occlusal plane allows clinicians to efficiently establish precise prosthetic and orthodontic references for their treatments.





