Detium Solution
Total Solution Power
-
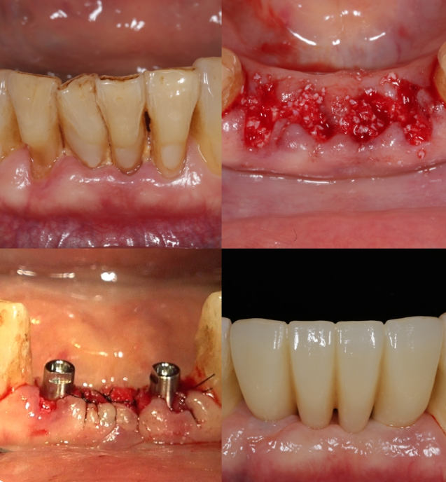
Concept 1SurgeryShort and Narrow
Safe placement in narrow bone
Avoids need for GBR- Simple and Predictable
-
Provides multiple clinical benefits, enabling safe, predictable, and minimally invasive treatment
Simplified drilling and makes complex surgeries approachable, and provides ease for clinicians
Reduced post-operative swelling and pain provides comfort for patients
- Lowered cost
-
Allows implant placement in narrow ridges without the need for additional ridge augmentation, simplifying the procedure and reducing patient burden.
- Safe
-
Decreased risk when placing near critical anatomical structures such as maxillary sinus and mandibular nerve
Preserves surrounding bone and soft tissue, ensuring long-term stability and esthetics.
-
Concept 2DigitalDigital Minimalism
From Diagnosis to Treatment
High Accuracy, increased efficiency- Accuracy
-
Leverage advanced digital diagnostics and guided workflows for precise implant planning and placement.
Minimize errors by focusing only on processing essential information and
at each step.
- Efficiency
-
Streamlined, minimalist processes eliminate unnecessary steps.
Accelerate clinical workflows without sacrificing quality or outcomes.
- Patient Experience
-
Simplified procedures lead to less chair time and greater comfort.
Clear communication and fewer appointments enhance patient satisfaction.
-
Concept 3SurgeryEasy Bone Graft
Use Only What’s Needed, Create more than expected
Simple and Easy Bone Grafting, Predictable Results- Streamlined, efficient
-
Skip unnecessary steps - Just a straightforward process that makes it easy for both the clinician and the patient
- Less Material, More Impact
-
Biocompatible regenerative materials used precisely as needed – for stable, predictable outcomes.
- Optimized for Recovery
-
Shorter and simple procedures with less post operative pain and faster healing
-
Concept 4SurgerySinus Simple
Streamlined Steps - Reliable Outcomes - Enhanced Safety
- Versatile Application
-
The single kit (DASK Simple) supports multiple maxillary sinus surgery approaches, including both crestal and lateral techniques, enables practitioners to adapt easily to diverse clinical situations while minimizing patient discomfort.
- Enhanced Workflow
-
The simple kit design minimizes preparation time, enhances surgical efficiency and provides patients with a faster, more comfortable treatment.
- Safety-Focused Design
-
Ergonomically designed drills minimize tissue damage, ensuring safer surgical and supporting faster postoperative recovery for patients.
-
Concept 5EstheticFiller & Toxin
Simple Precision for Refined Esthetic -
Controlled injection to restore natural contours
through a safe, predictable and efficient process.- Instant Impact, Effortless Recovery
-
Experience visible enhancement immediately with the shortest downtime and patient discomfort. A safer approach ensures greater satisfaction with fewer touch-ups, revealing a balanced appearance for each individual.
- Across Broad Application Areas
-
Effectively addressing age-related soft tissue volume loss, it provides predictable volumizing effects across major facial regions such as the nasolabial folds, marionette lines, glabellar lines, and overall contours.
- Bone Contact Technique
-
By advancing the needle along the subcutaneous layer to the target site, this method prioritizes anatomical safety and preserves connective tissue integrity. The Surgical concept is tailored to provide long-lasting, consistent structural support, making it ideal for durable outcomes.
- Minimally Invasive Intraoral Injection
-
Targeting a range of concerns, this approach handles gingival recession, black triangles, and vertical dimension reconstruction. Effective for managing TMD, bruxism, habitual clenching, and for supporting central relation (CR) adaptation after orthodontic treatment.




